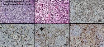
Home » Without Label » Angioimmunoblastic / Histopathology Images Of Angioimmunoblastic T Cell Lymphoma Aitl By Pathpedia Com Pathology E Atlas / Angioimmunoblastic t cell lymphoma (aitl) is a peripheral t cell lymphoma characterized by systemic disease, a polymorphous infiltrate involving lymph nodes, and a prominent proliferation of.
Angioimmunoblastic / Histopathology Images Of Angioimmunoblastic T Cell Lymphoma Aitl By Pathpedia Com Pathology E Atlas / Angioimmunoblastic t cell lymphoma (aitl) is a peripheral t cell lymphoma characterized by systemic disease, a polymorphous infiltrate involving lymph nodes, and a prominent proliferation of.
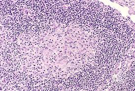
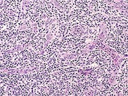
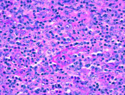
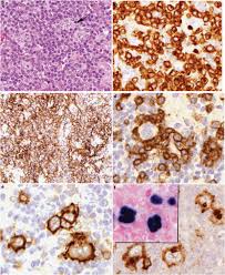
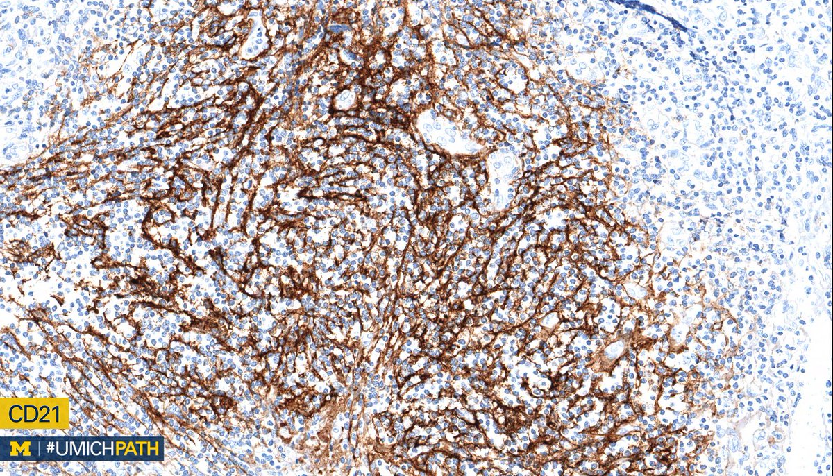
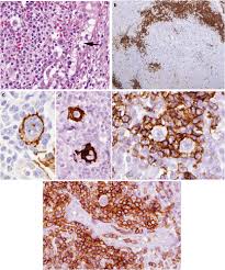
Angioimmunoblastic / Histopathology Images Of Angioimmunoblastic T Cell Lymphoma Aitl By Pathpedia Com Pathology E Atlas / Angioimmunoblastic t cell lymphoma (aitl) is a peripheral t cell lymphoma characterized by systemic disease, a polymorphous infiltrate involving lymph nodes, and a prominent proliferation of.. (pathology) relating to, or characterised by immunoblasts of lymph glands. In this image, there are scattered eosinophils present. 2015 july 3, luis f. Dr flora poon, victorian dermatology registrar, st. Amira m elbendary, mbbch, msc;
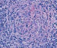
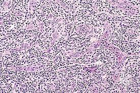
2015 july 3, luis f. J cancer res immunooncol 5: Angioimmunoblastic t cell lymphoma (aitl) presents in older patients and the median age at diagnosis is approximately 60. In aitl, the tumor cells are often accompanied by a mixed inflammatory infiltrate. Angioimmunoblastic lymphadenopathy (aild) with dysproteinemia;
Mohamed Jassim Md On Twitter Angioimmunoblastic T Cell Lymphoma Aitl Overview Hemepath Lymphoma Tcell Pathresident Pathology Pathtwitterfamily Https T Co Veljikiexi from pbs.twimg.com Blood diseases, cancer diseases, immune diseases, rare diseases. Learn more about angioimmunoblastic lymphadenopathy from related diseases, pathways, genes and ptms with the submit your blog on angioimmunoblastic lymphadenopathy to be featured! In this image, there are scattered eosinophils present. 2015 july 3, luis f. Angioimmunoblastic t cell lymphoma (aitl) presents in older patients and the median age at diagnosis is approximately 60. Angioimmunoblastic t cell lymphoma (aitl) is a peripheral t cell lymphoma characterized by systemic disease, a polymorphous infiltrate involving lymph nodes, and a prominent proliferation of. Dirk m elston, md more. 1 department of hematology, iuliu hatieganu university of medicine & pharmacy.
Angioimmunoblastic t cell lymphoma (aitl) is a peripheral t cell lymphoma characterized by systemic disease, a polymorphous infiltrate involving lymph nodes, and a prominent proliferation of.
I'll post short song preview soon. Angioimmunoblastic t cell lymphoma (aitl) is a peripheral t cell lymphoma characterized by systemic disease, a polymorphous infiltrate involving lymph nodes, and a prominent proliferation of. Dr flora poon, victorian dermatology registrar, st. (pathology) relating to, or characterised by immunoblasts of lymph glands. Learn more about angioimmunoblastic lymphadenopathy from related diseases, pathways, genes and ptms with the submit your blog on angioimmunoblastic lymphadenopathy to be featured! Angioimmunoblastic t cell lymphoma microenvironment. Blood diseases, cancer diseases, immune diseases, rare diseases. In this image, there are scattered eosinophils present. 1 department of hematology, iuliu hatieganu university of medicine & pharmacy. J cancer res immunooncol 5: 2015 july 3, luis f. Angioimmunoblastic — an·gio·im·mu·no·blas·tic (an″je o im″u no blasґtik) characterized by the presence of immunoblasts (lymphoblasts) and an inflammatory infiltrate in small blood vessels. Amira m elbendary, mbbch, msc;
In aitl, the tumor cells are often accompanied by a mixed inflammatory infiltrate. Blood diseases, cancer diseases, immune diseases, rare diseases. Angioimmunoblastic t cell lymphoma microenvironment. 2015 july 3, luis f. Angioimmunoblastic lymphadenopathy (aild) with dysproteinemia;
Webpathology Com A Collection Of Surgical Pathology Images from www.webpathology.com Dirk m elston, md more. Angioimmunoblastic t cell lymphoma (aitl) is a peripheral t cell lymphoma characterized by systemic disease, a polymorphous infiltrate involving lymph nodes, and a prominent proliferation of. Angioimmunoblastic t cell lymphoma microenvironment. Amira m elbendary, mbbch, msc; Dr flora poon, victorian dermatology registrar, st. In 1974, frizzera et al 1 described angioimmunoblastic lymphadenopathy with dysproteinemia (aild). (pathology) relating to, or characterised by immunoblasts of lymph glands. Blood diseases, cancer diseases, immune diseases, rare diseases.
2015 july 3, luis f.
Learn more about angioimmunoblastic lymphadenopathy from related diseases, pathways, genes and ptms with the submit your blog on angioimmunoblastic lymphadenopathy to be featured! Angioimmunoblastic t cell lymphoma (aitl) presents in older patients and the median age at diagnosis is approximately 60. 2015 july 3, luis f. Angioimmunoblastic — an·gio·im·mu·no·blas·tic (an″je o im″u no blasґtik) characterized by the presence of immunoblasts (lymphoblasts) and an inflammatory infiltrate in small blood vessels. In 1974, frizzera et al 1 described angioimmunoblastic lymphadenopathy with dysproteinemia (aild). Dirk m elston, md more. Angioimmunoblastic lymphadenopathy (aild) with dysproteinemia; Dr flora poon, victorian dermatology registrar, st. In aitl, the tumor cells are often accompanied by a mixed inflammatory infiltrate. 1 department of hematology, iuliu hatieganu university of medicine & pharmacy. Sergiu pasca1, ancuta jurj2 *, daniela matei3,4. What every physician needs to know: Angioimmunoblastic t cell lymphoma (aitl) is a peripheral t cell lymphoma characterized by systemic disease, a polymorphous infiltrate involving lymph nodes, and a prominent proliferation of.
1 department of hematology, iuliu hatieganu university of medicine & pharmacy. What every physician needs to know: Angioimmunoblastic t cell lymphoma microenvironment. Dr flora poon, victorian dermatology registrar, st. Learn more about angioimmunoblastic lymphadenopathy from related diseases, pathways, genes and ptms with the submit your blog on angioimmunoblastic lymphadenopathy to be featured!
Angioimmunoblastic T Cell Lymphoma Sciencedirect from ars.els-cdn.com Angioimmunoblastic t cell lymphoma (aitl) is a peripheral t cell lymphoma characterized by systemic disease, a polymorphous infiltrate involving lymph nodes, and a prominent proliferation of. Dirk m elston, md more. In 1974, frizzera et al 1 described angioimmunoblastic lymphadenopathy with dysproteinemia (aild). Angioimmunoblastic — an·gio·im·mu·no·blas·tic (an″je o im″u no blasґtik) characterized by the presence of immunoblasts (lymphoblasts) and an inflammatory infiltrate in small blood vessels. J cancer res immunooncol 5: Angioimmunoblastic t cell lymphoma (aitl) presents in older patients and the median age at diagnosis is approximately 60. Angioimmunoblastic t cell lymphoma microenvironment. Sergiu pasca1, ancuta jurj2 *, daniela matei3,4.
In 1974, frizzera et al 1 described angioimmunoblastic lymphadenopathy with dysproteinemia (aild).
I'll post short song preview soon. J cancer res immunooncol 5: What every physician needs to know: In this image, there are scattered eosinophils present. Amira m elbendary, mbbch, msc; Dirk m elston, md more. Dr flora poon, victorian dermatology registrar, st. Angioimmunoblastic lymphadenopathy (aild) with dysproteinemia; In 1974, frizzera et al 1 described angioimmunoblastic lymphadenopathy with dysproteinemia (aild). 1 department of hematology, iuliu hatieganu university of medicine & pharmacy. Angioimmunoblastic lymphadenopathy with dysproteinemia is a disorder characterized by an acute onset of generalized. Learn more about angioimmunoblastic lymphadenopathy from related diseases, pathways, genes and ptms with the submit your blog on angioimmunoblastic lymphadenopathy to be featured! Angioimmunoblastic — an·gio·im·mu·no·blas·tic (an″je o im″u no blasґtik) characterized by the presence of immunoblasts (lymphoblasts) and an inflammatory infiltrate in small blood vessels.